
인공섬유 개발, 어군(魚群) 찾기, 공항검색대 등 폭넓게 사용돼
의료만이 아닌 현대 과학문명의 산물로 특정분야의 독점은 옛말
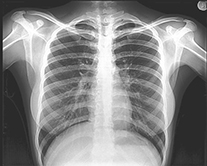
X-ray 진단으로 골절, 폐질환, 신장결석 등 정확한 진단에 유용
X-ray 진단 또는 X-ray 촬영이란 X선을 인체에 투과시켜 촬영하는 검사를 말한다. 이 방법을 사용하면 조영제나 기구 등을 사용하지 않고 인체의 내부 모습을 판단할 수 있으며, 전후 사진 또는 필요에 따라 측면 또는 대각선 촬영 등을 통해 흔히 가슴 사진, 뼈 사진 등을 얻을 수 있다.
X-ray에 사용되는 X선은 고속전자의 흐름을 물질에 충돌시키는데 이때 파장이 짧은 전자기파가 생기며, 이것을 X선이라 한다. 1895년 뢴트겐(Wilhelm Roentgen)이 처음 발견하여 ‘뢴트겐선’이라고도 한다. 거울이나 렌즈에서도 쉽게 반사나 굴절을 일으키지 않는 등 그 정체를 알 수 없다하여 X선이라고 명명했다.
특히 X-ray 촬영은 컴퓨터 단층촬영(CT), 자기공명영상(MRI) 등의 검사에 비하여 값이 싸고, 검사법이 간단하며, X선 촬영으로 진단되는 질환들이 많이 있다.
최근에는 X선 필름 보다 모니터 영상으로 판독
예를 들어 단순 흉부 촬영은 결핵, 폐렴 등의 감염성 폐질환, 폐암 또는 폐전이 등의 종양성 폐질환을 진단하고 추적하는 데 유용한 검사법이며, 단순 복부 촬영은 신장 결석, 장폐색증 등의 진단에, 단순 골격 촬영으로는 팔다리 또는 척추 등의 골절 등을 진단하는 데 매우 유용하다.
최근에는 영화나 드라마 등에서 가끔 볼 수 있는 전경인 필름 프린트(film print/X선 사진필름)을 걸어 놓고 환자에게 설명하는 형태는 쉽게 보기 어렵고, 1990년대 이후부터 PACS (picture archiving and communication system)가 보급된 이후 주로 컴퓨터의 모니터로 영상을 보고 판독해 환자들에게 진단결과를 설명하고 있다.
촬영되는 주요 부위는 흉부, 복부, 골격, 부비동, 경부 연조직(neck soft tissue) 유방 등이다.
검사방법은 검사 목적에 따라 여러 자세로 촬영을 하게 되는데, 가장 흔히 촬영하는 단순 흉부 촬영의 경우 촬영기를 가슴에 밀착시키고 허리에 손을 올린 자세로 찍는 것을 말하고 필요에 따라 측면 촬영을 할 수도 있다.
X선 촬영 큰 부작용 미미, 임신 시에는 피하는 것 좋아
또 복부, 골반, 두개골, 팔다리 등을 촬영할 때는 누워서 또는 앉아서 필요한 부위만을 X선을 통과시켜 촬영한다.
팔다리, 두개골 등 특정 부위를 제외하고는 대부분의 단순 촬영 시 숨을 참는데, 이는 촬영 시에 숨을 쉬면 사진이 떨려서 나오기 때문이다.
X선 촬영에 있어 큰 부작용 및 후유증은 극히 미미하다. 사실 특별한 부작용은 없다고 볼 수 있으나 다만 X선에 노출된다는 점이 있기는 하다. 그러나 진단 목적의 단순 촬영 시 노출되는 X선의 양은 미미하여 부작용을 걱정하지 않아도 된다.
일상 생활을 하면서 자연에 존재하는 방사성물질에 의해 방사선에 노출되게 되는데, 이러한 양은 일반적으로 연간 약 2~5mSv 정도다. 고산지대에 사는 경우는 해수면 높이에 사는 사람보다 연간 약 1.5mSv 정도의 방사선에 더 노출되며, 비행기 여행을 하는 경우는 약 0.3mSv 정도의 방사선에 더 노출된다.
X선 촬영 시 노출되는 방사선 조사량 약 0.1mSv
병원에서 가장 흔히 촬영하는 단순 흉부 방사선 촬영의 경우, 촬영 시에 노출되는 방사선 조사량은 약 0.1mSv로 일상 생활을 하면서 우리가 약 10일간 노출되는 정도의 미미한 양이다.
다만, 임신 시에 우연히 시행한 방사선 검사의 경우 일반적으로 아이의 성장 발달에 영향을 미칠 수도 있어 임신 시에는 불필요한 방사선 조사는 되도록 피하는 것이 좋다.
X선 촬영이 의료 분야에서 각종 병변(病變)이나 골격이상의 진단, 염증이나 종양 등의 진단이나 동물병원에서 수의사가 활용하는 것을 비롯해 현재 X선은 여러 방면에서 유용하게 사용되고 있다.
공업 분야에서는 X선 해석을 통해 나일론을 비롯한 인공섬유, 플라스틱 등의 개발에 활용되고 있고, 의약품 분야에서는 X선의 조사효과(照射效果)를 이용하여 페니실린의 생산체인 푸른곰팡이의 품종개량 등에 응용하고 있다. 이외에도 어선에서 어군(魚群)을 찾고자 하는데 이용되고 있고, 공항검색대에서 밀반입품을 찾는데도 이용되고 있으며, 군사 분야에서는 폭발물 의심물질에 대해 X선 투시로 정밀 확인 작업을 벌이는 등 의료분야만이 아닌 다양한 분야에서 현대 과학문명의 이기로 폭넓게 사용되고 있다.