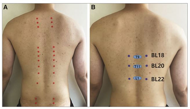
대한침도의학회(회장 유명석·구 연부조직한의학회) 동국대 학생지부가 ‘간수, 비수, 삼초수의 심도에 대한 체계적 문헌고찰 연구’란 제하의 논문을 SCIE급 학술지인 ‘Medicine’(IF=1.889)에 게재됐다.
대한침도의학회는 ‘20년부터 원광대, 동신대, 세명대 등에 학생지부를 설치하고 교육 및 특강을 지속해오고 있으며, 학회 회원들과 학생들의 연구활동을 지원하고 있다. 또한 다양한 신침(新鍼)요법에 대한 소개뿐 아니라 주요 경혈에 대한 해부생리학적 분석을 통해 경혈의 치료 효과에 대한 근거 창출과 치료 목적을 달성하기 위한 가장 효율적인 자침 심도와 자입 방법, 질환 치료에 대한 프로토콜을 연구해 ‘대한침도의학회지’((구)대한연부조직한의학회지)를 통해 소개해 왔다.
이번에 동국대 학생지부에서 게재한 논문은 △간수 △비수 △삼초수 등 세가지 혈자리를 선정하고, 국제 영문 데이터베이스와 중국 및 국내 데이터베이스에 검색식을 통해 해당 혈위들을 활용한 임상연구들을 조사, 체계적 문헌고찰 방법을 통해 혈자리의 가장 효율적인 자침 심도와 각도를 조사하고 해당 혈의 치료 기전에 대해 탐색하고 이를 제시했다.
제1저자인 조연우 한의사는 “본과 4학년 때부터 시작한 이번 연구에서 배수혈 자침을 활용한 내장기 조절 기전을 해부학적 근거를 통해 정리하며 공부가 많이 됐다”고 말했다.
또한 학생지부 논문을 지도하고 함께 작성한 대한침도의학회 학술위원 채효청(선유재한의원)·추홍민(원광대학교) 한의사는 “개별 경혈의 자침 심도, 자입 방법, 자입 후 침체 조작법에 대한 구체화된 연구가 지속적으로 이뤄져야 한다”며 “이번 연구는 학회가 제시하고자 하는 임상치료법의 기본 근거를 구축하려는 연구들의 연장선상에 있는 만큼 앞으로도 이같은 연구방법 제시를 지속해 나갈 예정”이라고 전했다.
특히 유명석 대한침도의학회장은 “학회에서는 한의학적 치료의 객관적·과학적 근거 창출을 위해 꾸준히 노력해 왔으며, 이번 논문은 그러한 우리들의 노력을 학계로부터 인정받은 첫 결과물이라 생각한다”며 “앞으로도 이러한 노력을 지속적으로 경주해 한의사들뿐만 아니라 한의대 학생들의 연구활동에 대해 체계적·지속적인 지원을 이어나갈 계획”이라고 강조했다.
한편 대한침도의학회는 정밀한 해부학적 지식과 생리적 이해를 기반으로 인체의 구조 및 기능적 특성에 근거해 연부조직의 침구치료를 연구하는 대한한의학회 회원학회로, 지난 6월부터 대한한의학회 인준을 거쳐 ‘대한연부조직한의학회’에서 ‘대한침도의학회’로 학회명을 변경한 바 있다.
-
대구시 달서구한의사회 총회 “통합돌봄사업 활성화”[한의신문] 대구광역시 달서구한의사회(회장 이태헌)는 6일 AW호텔에서 제39회 정기총회를 개최, 2025회계연도의 한의방문진료사업 및 우리 동네 한방주치의 사업 등의 성과 공유와 더불어 2026회계연도 사업 계획을 수립한데 이어 이웃사랑 후원금 전달식도 함께 가졌다. 이날 총회는 이태헌 회장의 인사말을 시작으로 노희목 대구시한의사회장의 축사와 이태훈 달서구청장, 서민우 달서구의회 의장의 격려사가 이어졌으며, 유영하 국회의원(달서갑), 윤재옥 국회의원(달서을) 등이 행사장을 방문해 회원들에게 인사를 건네며 달서구한의사회의 발전을 기원했다. 특히 이날 총회에서 달서구한의사회는 이웃사랑 후원금 200만 원을 달서구청에 전달했으며, 2025년도 우리동네 한방주치의 사업으로 총 1억 8천만 원 상당의 한약을 관내 소득계층에 기부함으로써 2014년부터 현재까지 7억 2천만 원 상당의 한약을 기부했다. 계속된 총회에서는 △중앙대의원 선출의 건 △2024년 세입세출 결산(안) 승인의 건 △2025년 세입세출 가결산(안) 승인의 건 △2026년 사업계획 및 세입세출 예산(안) 승인의 건 등을 승인했다. 이태헌 회장은 “달서구청은 작년 달서 한의방문진료사업과 우리동네 한방주치의 사업으로 지역사회보장협의체 우수사례 공모전에서 대상을 수상했는데, 달서구한의사회는 이를 바탕으로 더욱더 두 사업을 달서구형 한의 통합돌봄사업으로 발전시켜 나갈 방침”이라고 밝힌 뒤 “이를 통해 한의학이 사회적 의료비용 지출을 줄이는데 효과가 있음을 입증해 나가겠다”고 말했다. -
양주시한의사회, 장학금 지원으로 지역인재 육성 앞장[한의신문] 양주시한의사회(회장 유경곤·이하 양주시분회)가 지역인재 육성과 나눔문화 확산을 위한 한의계의 따뜻한 실천이 이어가고 있다. 양주시분회는 3일 양주시사회복지협의회(회장 황산)와 ‘장학금 전달식’을 갖고, 관내 학생들을 위한 장학금을 전달했다. 이번 전달식은 양주시분회가 기탁한 후원금을 바탕으로, 어려운 환경 속에서도 학업에 매진하는 지역인재들을 격려하고 응원하고자 기획됐다. 양주시사회복지협의회는 ‘사회복지사업법’에 따라 지난 2010년 설립된 이래 시민 참여를 통한 복지 증진과 지역사회 발전에 기여해오고 있는 사회복지법인으로, 이날 기탁한 장학금은 양주시분회 회원들의 자발적인 참여로 마련됐다. 장학금 수혜 대상은 지역아동센터 및 사회복지기관의 추천을 받은 학생 10명으로 선정됐으며, 이날 행사에선 장학생과 보호자, 추천기관 관계자 등 30여 명이 참석해 학생들의 꿈을 응원하고, 소통하는 뜻깊은 시간을 가졌다. 조성옥 양주시분회 총무부회장은 “지역사회의 미래인 학생들이 경제적 어려움으로 인해 자신의 꿈을 포기하는 일이 없길 바라는 마음으로 회원들의 정성을 모았다”며 “작은 정성이지만 학생들이 건강한 사회구성원으로 성장하는 데 든든한 디딤돌이 되길 바라며, 앞으로도 지역사회를 위한 나눔 활동에 지속적으로 동참하겠다”고 밝혔다. 황산 회장도 “모두가 어려운 시기에 지역 학생들을 위해 귀한 나눔을 실천해 준 양주시한의사회와, 학생들을 애정으로 이끌어주시는 복지기관 관계자분들께 감사드린다”며 “우리 지역의 미래인 학생들이 지역사회의 사랑을 느끼며 꿈을 포기하지 않고 건강하게 성장하는 데 도움이 되길 바란다”고 전했다. 한편 양주시분회는 그동안 지역사회 취약계층 지원과 공공보건 증진을 위한 다양한 나눔 활동을 꾸준히 이어오고 있으며, 앞으로도 지역과 상생하는 사회공헌 활동을 지속 확대해 나갈 방침이다. -
“지·필·공 원정시대…공공의료, 재정·기능 중심으로 재편 시급”▲(왼쪽부터) 임이자 의원장, 이수진·최보윤 의원 [한의신문] 지역·필수·공공의료를 담당할 공공병원의 기능과 재정 구조 한계가 동시에 드러났다. 종합병원 접근이 어려운 지역이 84곳, 포괄 2차 기능이 미흡한 지역이 28곳에 달하는 가운데 국회에서는 특별회계·기금 도입과 성과 중심 재정 운영을 통한 구조 개편의 시급성이 제기됐다. 국회 재정경제기획위원회 임이자 위원장은 6일 ‘지역 의료격차 해소를 위한 공공보건의료 서비스 개선 방안’을 주제로 토론회를 개최, 기능 중심 재정 집행 방안을 모색했다. 임이자 위원장은 인사말에서 “공공의료기관이 노인병원이나 특정 질환 중심으로 운영되면서 지역 간 의료 접근성 격차가 고착화되고 있다”며 “이는 국민의 안전과 삶의 질에 직결되는 중대한 문제인 만큼 재정 배분과 집행에 대한 전략적 해법 마련으로 이어질 수 있도록 적극 뒷받침하겠다”고 밝혔다. 보건복지위원회 이수진 의원(더불어민주당·간사)은 “지역의사제에 이어 공공의대 및 공공의전원법도 논의에 착수할 예정”이라며 “국민이라면 거주 지역에 관계없이 언제 어디서나 필요한 의료서비스를 받을 수 있도록 논의된 사안을 복지위에서 실천할 수 있도록 최선을 다하겠다”고 전했다. 최보윤 의원(국민의힘)은 “지역의료기관에 대한 인식 및 신뢰를 제고하고자 ‘상급 종합병원’을 ‘중증 종합병원’으로 명칭을 바꾸는 법안을 발의할 예정으로, 앞으로도 보건복지위원으로서 그 역할들을 재정위와 연대해 나가겠다”고 전했다. 이날 토론회에선 △공공보건의료서비스 개선을 위한 공공보건의료 확충 방안(유원섭 국립중앙의료원 공공보건의료본부장) △공공보건의료서비스 개선을 위한 재정 기반 구축 방안(옥민수 울산대 의대 교수)을 주제로 발표가 진행됐다. ■ “공공의료, ‘기관 수’보다 ‘기능’…지역 완결형 필수의료 구축 시급” 이날 유원섭 본부장은 공공보건의료를 국가·지자체·공공·민간이 함께 책임지는 체계로 규정하고, 지역·계층·분야에 관계없는 보편적 의료 보장을 중심으로 공공의료 재정립의 필요성을 강조했다. 유 본부장이 의료취약도를 분석한 결과, 종합병원 1시간 내 접근이 어려운 기초자치단체가 84곳에 달하고, 포괄 2차 기능이 부족한 지역도 28곳에 이른다. 그는 “해당 지역 중 18곳에는 이미 공공의료기관이 있으나 필수의료를 담당할 기능과 역량이 부족한 곳이 많다”며 “기관이 없는 것이 아니라 역할을 수행하지 못하는 것이 문제”라고 지적했다. 실제 지역거점 공공병원 41개소 가운데 포괄 2차 기능을 갖춘 곳은 4개소에 불과한 것으로 나타났다. 유 본부장은 공공의료기관의 양적 기반과 지역 편차 문제도 짚었다. 일반진료 중심 공공의료기관은 66개소로, 이 중 종합병원급은 62개소이며, 300병상 초과 기관은 24개소에 불과했다. 유 본부장은 현 정부의 공공보건의료 정책 기반 확대에 맞춘 거버넌스 전면 개편 안으로 △지방정부 자율·책임 강화 △중앙·지방 협력체계 구축 △근거 기반 정책 플랫폼 강화 △별도 재정 확보 및 지원체계 정비 등을을 제시했다. 이어 △중앙·지방 정책협의 제도화 △광역자치단체 간 협력 강화 △시민 참여 거버넌스 활성화를 통한 정책 수용성과 실행력 제고의 필요성도 강조했다. 또한 중앙·지방정부가 수행해야 할 핵심 과제로는 △지역 단위 필수의료 수요·자원 평가 △이해관계자 파악 △서비스 이용 현황 및 공급 역량 분석 △접근성 격차 모니터링 △지역사회 협의 강화 △인력 확보 및 재정·성과 보상 체계 구축 △지속적 평가·질 관리 지원 등을, 공공병원의 서비스 개선 안으로는 △공공의료기관 역량 강화와 AI 기반 스마트병원 구축을 통한 지역필수의료 선도 △공공보건의료 인력 전주기 양성·지원과 인력 거버넌스 구축 △책임의료기관 중심 전달체계 혁신과 성과관리 고도화 △응급·외상·심뇌·암 등 필수중증 대응체계 강화 및 취약계층 접근성 확대 △중앙·지방 거버넌스 개편과 재정 조달체계 정비 등이다. 그는 “정책 패키지가 실질적인 예산과 제도 개편으로 이어질 때 지역 의료격차 해소가 가능하다”고 강조했다. ■ “건보만으로는 한계”…지역·필수의료 재정구조 전면 재설계 촉구 이어진 발표에서 공공보건의료서비스 개선의 핵심을 ‘재정 기반 구축’으로 규정한 옥민수 교수는 “응급·중증·취약지 의료는 수요 예측이 어렵지만 24시간 대응을 위해 상시 인력과 자산이 필요하다”며 “행위 중심 보상체계로는 의료행위가 적은 지역에서 필수의료를 유지하기 어려워 인력 이탈과 격차를 심화시킨다”고 지적했다. 그는 “건강보험 재정만으로는 지역 필수 공공의료 문제를 해결하는 데 한계가 있다”며 “목적과 비용 성격에 맞는 다양한 재원 구조를 마련해야 한다”고 강조했다. 특히 정부의 지·필·공 특별회계 신설을 긍정적으로 평가하면서도 “예상 규모가 1조1000억원 수준으로 충분한 대응력이 있는지 점검이 필요하다”며 “기존 사업을 단순 편입하는 방식이 아닌 신규 사업과 고정비를 안정적으로 뒷받침할 구조가 필요하다”고 말했다. 옥 교수는 중장기 대응이 필요한 영역을 위한 기금 논의 재개도 촉구한 데 이어 “예산·기금은 고정비와 장기 투자에, 건보는 가변적 비용 지원에 맡기는 역할 분담이 필요하다”고 제언했다. 아울러 가치(성과) 중심 재정 운용을 위한 주요 평가 기준으로 △전달체계 기능 수행 △지역 완결 기여 △의료의 질과 공공성 등을 제시하며 “책임의료기관 성과 기반 보상과 특별회계 사업에 대한 엄격한 평가체계 도입이 필요하다”고 덧붙였다. ■ 특별회계·기금·성과보상 강조…공공의료 재정개편 공감대 한편 이경수 영남대 부총장이 좌장을 맡은 패널토론에서 김태현 연세대 보건대학원 교수는 “공공보건의료 재정은 비용이 아닌 국가 기반에 대한 투자라는 인식 전환이 필요하다”며 △재정 확보의 시급성과 실현 가능성 △재원 배분과 성과 관리 강화 △공적 거버넌스 구축과 민간 협력 확대를 과제로 제시했다. 그는 “특별회계와 기금의 실효성을 위해서는 안정적인 세입 기반 마련이 필수”라며 “담뱃세 등 세금 부과의 경우 사회적 저항이 예상되는 만큼 재원 목적과 사용처를 명확히 해 국민적 수용성을 높여야 한다”고 말했다. 이어 강희정 보건사회연구원 건강보장정책연구실장은 “재정 지출의 효율성을 높이기 위해 공공보건의료의 역할과 다층적 재원 구조의 관계를 명확히 해야 한다”며 △공공보건의료 자원 조정을 위한 컨트롤타워 구축 △민간 의료기관의 공적 역할 강화를 위한 거버넌스 확립 △공공의료기관의 질적·양적 확충 △차등 보상과 특별회계·기금 등 다층적 재정 기반 마련을 주문했다. 남경철 기획예산처 복지안전예산심의관은 “130조 원 규모의 비급여 의료시장과 GDP 대비 10%에 달하는 거대한 의료산업에 반해 수도권 대형병원 쏠림과 박리다매식 진료 구조는 지역 의료 생태계를 더욱 취약하게 만들고 있다”며 “지·필·공 붕괴는 보건복지부의 20여 년간 수가체계와 재정 구조 개혁이 미흡했던 데서 비롯된 것으로, 이제는 관련 재정·보상체계 재설계에 따라 적극 뒷받침 하겠다”고 밝혔다. 아울러 조승아 보건복지부 공공의료과장은 “건보를 통한 지역의료 활성화 방안을 고민하겠다”면서도 “거버넌스 구축은 건보만으로 해결할 수 있는 문제가 아닌 만큼 지역의 노력과 관련 기관 간 역할 분담을 바탕으로 함께 논의해 나가야 한다”고 전했다. -
심평원, 성과 중심의 실용적 평가체계 강화[한의신문] 건강보험심사평가원(원장 강중구·이하 심평원)은 6일 심평원 누리집을 통해 ‘2026년도 요양급여 적정성 평가 계획’을 공개했다. 이번 계획은 건강보험으로 제공되는 진료·수술 등 의료서비스 전반에 대해 안전성·효과성·효율성·환자중심성 측면에서 적정성을 종합적으로 평가하는 데 목적이 있다. 적정성 평가는 2001년 항생제 처방률 평가 등을 시작으로 급성기 질환, 만성질환, 암 질환, 정신건강, 장기요양 등으로 평가영역을 고르게 확대해 의료 질 향상을 유도해 왔으며, 심평원에서는 예측 가능하고 체계적인 평가 운영을 위해 매년 평가계획을 수립해 공개하고 있다. 올해는 ‘성과 중심의 실용적 평가체계 강화’를 목표로 △성과중심 평가를 위한 환경 조성 △평가 혁신을 위한 AI·디지털 인프라 구축 △국민이 체감하는 실용적 평가수행 강화 등을 주요 전략과제를 설정하고, 총 36항목에 대한 요양급여 적정성 평가 세부 실행방안을 마련해 추진한다. 먼저 개별 질환 중심의 평가에서 성과 중심의 종합적인 평가로 전환 기반을 마련하고, 성과 보상제도를 정비해 보다 합리적인 평가환경을 조성해 나갈 방침이다. 이를 위해 의료기관 진료유형과 종별기능을 고려한 평가·성과모형 개발 연구 결과를 바탕으로, 각 유형별 특성에 맞는 종합평가와 성과에 따른 보상체계 정비를 검토할 예정이다. 또 약제급여 가감지급사업의 경우 지급주기를 기존 반기에서 연간으로 조정해 적정성 평가 주기와 일치하도록 개선했으며, 급성상기도감염에 국한됐던 가감지급 및 의료질평가지원금 보상범위를 급성하기도감염까지 확대해 평가결과와 보상 간 연계를 강화한다. 더불어 현장점검 전담조직 신설(’25년) 2년 차를 맞아 대상기관 선정 기준 확대, 전산 시스템 개선 등을 통해 업무의 완성도를 높이고, 평가결과 신뢰도 제고를 위한 현장점검 기관 수를 확대해 적정성 평가 사후관리를 강화한다. 이와 함께 제2차 국민건강보험 종합계획에 발맞춰 의료평가 통합관리 기반을 마련하고, AI와 디지털 기술을 접목해 평가 업무의 효율성을 극대화할 계획이다. 의료기관 대상 평가·인증·지정 정보를 통합 관리하는 ‘의료평가통합정보시스템’ 구축을 추진하기 위한 로드맵에 따라, 병원평가통합포털을 통해 타 기관 평가정보 직접 공개 항목을 7개로 확대하며, 청구명세서와 보건의료자원 신고 내역 등을 기반으로 평가지표 자동 산출 프로그램을 개발해 평가 데이터 구축과 지표 산출을 빠르고 정확하게 수행할 수 있는 기반을 조성한다. 또한 국민이 실질적으로 질 향상을 체감할 수 있도록 중증·필수의료와 환자 안전 중심의 평가를 강화할 예정이다. 급성기뇌졸중은 ‘필수특화 기능 강화 지원사업’ 방향에 맞춰, 단순 치료 여부를 넘어 최종치료 능력까지 종합적으로 반영한 결과 공개 방식을 도입해 필수의료 안전망을 공고히 하는 평가를 수행한다. 환자안전 관리의 실효성을 높이기 위해 영상검사와 혈액투석은 평가지표 개선을 검토하는 한편 환자경험평가는 평가대상 기관을 기존 종합병원급에서 병원급 이상으로 확대해 환자 중심 의료문화를 확산하고, 환자의 피드백이 의료서비스 개선으로 즉각 반영될 수 있도록 제도적 보완을 검토할 예정이다. 이밖에도 심평원은 국민과의 소통을 활성화해 국민이 직접 참여하는 적정성 평가로 발전시켜 나갈 계획이다. 이를 위해 국민평가자문회의와 대국민 만족도 조사를 통해 국민의 목소리를 적극적으로 반영하고, 심평원 누리집과 병원평가통합포털을 통해 17개 항목 평가 결과를 공개함으로써 국민의 의료 선택권 강화를 도모할 예정이다. 정영애 심평원 평가운영실장은 “치료성과 중심의 실효성 있는 평가체계로 개편하고, 디지털 혁신을 활용해 평가 효율을 극대화함으로써 국민이 고품질의 의료서비스를 체감할 수 있도록 최선을 다하겠다”고 전했다. 한편 평가항목별 추진계획은 심평원 누리집 또는 병원평가통합포털 공지사항을 통해 확인할 수 있으며 적정성 평가 관련 세부 계획은 의료평가조정위원회 심의를 거쳐 별도로 공지할 예정이다. -
신임 허준박물관장에 김상엽 전 주미대한제국공사관 임명[한의신문] 서울 강서문화원은 신임 허준박물관 관장에 김상엽 전 주미대한제국공사관 관장을 임명했다고 밝혔다. 김 신임 관장의 임기는 2026년 2월 1일부터 2028년 1월 31일까지 2년이다. 신임 김상엽 관장은 한국미술연구소 연구원·문화재청 문화재감정위원·국외소재문화재재단미국사무소·영산대와 인천대 겸임교수·건국대 인문학연구원 학술연구교수·한국미술사학회 이사·경기도문화유산위원·(사)한국전통조경학회 이사·(재)나주문화재단 이사 등 다양한 역할을 수행해왔다. 김상엽 관장은 “허준박물관을 특정 계층만을 위한 공간이 아니라, 시민 대중과 자연스럽게 호흡하며 일상 속에서 찾을 수 있는 열린 박물관이 되도록 운영해 나가겠다”며 “관련 기관 및 단체들과의 협력을 적극적으로 강화해 한의약의 역사적 가치와 현대적 의미를 보다 폭넓게 알리는 데 주력할 계획”이라고 말했다. 또 김 관장은 “허준박물관이 지닌 학술적·문화적 위상을 더욱 높이고, 명실상부한 한의약 특수 박물관으로 자리매김하고 싶다”면서 “전시 개편과 프로그램 개발 등 다양한 중·장기적인 사업을 준비하고 있으며, 이를 단계적으로 추진해 나갈 예정”이라고 강조했다. 한편 허준박물관은 유네스코 세계기록유산으로 등재된 조선 최고의 의학서 ‘동의보감(東醫寶鑑)’을 저술한 의성(醫聖) 허준(1537~1615)의 업적과 정신을 기리기 위해 2005년 개관했다. 허준박물관에는 허준 선생의 저서를 비롯한 다양한 한의서를 비롯해 조선시대 내의원과 한의원을 재현한 전시 공간, 각종 약재 전시 등을 통해 전통의학으로써의 한의약에 대한 역사와 가치를 입체적으로 조명하고 있다. 또한 ‘동의보감’에 수록된 약초 120여 종을 식재한 약초원은 도심 속 자연 체험 학습장으로 활용되고 있으며, 전통의학과 생태 교육을 연계한 열린 공간으로 지역주민과 방문객들의 꾸준한 호응을 얻고 있다.
-
심평원 경기북부본부, 설 명절 맞아 지역 이웃에 온정 전해[한의신문] 건강보험심사평가원 경기북부본부(본부장 신소연·이하 경기북부본부)는 다가오는 설 명절을 맞아 지역사회 취약계층을 지원하기 위한 나눔 행사를 4일부터 5일까지 이틀간 진행했다. 이번 행사는 지역 복지기관과 협력해 명절 물품을 전달하는 방식으로 진행됐으며, 신소연 본부장을 비롯한 경기북부본부 직원 4명이 참여했다. 4일에는 그동안 지속적으로 후원해 온 장애인 거주시설인 ‘겨자씨 사랑의 집’에 직원들이 자발적으로 모금한 성금 38만원과 쌀·라면 등 약 110만원 상당의 식료품을 전달했다. 이어 5일에는 의정부시장애인종합복지관과 함께 중증장애인 100가정에 110만원 상당의 떡국떡을 전달했으며, 고산종합사회복지관에는 취약계층 가정을 위한 노인생산품(들기름·참기름·참깨) 50세트와 복지관 식당 이용객을 위한 떡국떡 7박스 등 총 110만원 상당의 후원 물품을 전달했다. 경기북부본부는 공공기관으로서 사회적 책임을 실천하며 지역 밀착형 나눔 활동을 꾸준히 이어가고 있다. 신소연 본부장은 “설 명절을 앞두고 지역 이웃들과 따뜻한 마음을 나눌 수 있어 의미가 크다”며 “앞으로도 지역사회와 상생하는 사회공헌 활동을 지속해 나가겠다”고 밝혔다. -
김제시, ‘한방 난임부부 지원사업’ 추진[한의신문] 김제시가 난임으로 어려움을 겪는 부부의 임신‧출산을 지원하기 위한 ‘한방 난임부부 지원사업’을 추진한다. 이번 사업은 전통 한의학적 치료를 통해 난임부부의 자연임신 가능성을 높이고, 치료에 따른 경제적 부담을 완화하기 위한 사업으로, 김제시에 주민등록을 두고 거주하는 난임부부(사실혼 포함)를 대상으로 1인당 최대 180만원 상당의 치료비를 지원한다. 단 신청일 기준 부부 한명이라도 거주지가 전북특별자치도민이 아닌 경우는 지원이 불가하다. 지원 대상자는 신청 시 희망하는 한의원을 직접 선택해 신청할 수 있으며, 이후 전북특별자치도한의사회의 심사를 거쳐 지정 한의원으로 최종 배정된다. 치료는 배정된 한의원에서 4개월간 한의 난임 치료를 진행 후 2개월간 임신 여부에 대한 추적 관리를 진행한다. 이와 관련 김제시보건소 관계자는 “한의 난임 치료는 신체 전반의 건강 회복을 돕는 치료로, 난임부부에게 또 하나의 선택지가 될 수 있다”며 “앞으로도 난임 극복을 위한 다양한 지원을 통해 출산 친화적인 지역 환경을 조성할 것”이라고 전했다. -
동국한의대 동문회, 2026년 신규 졸업 한의사 대상 임상특강 성료[한의신문] 동국대학교 한의과대학 동문회가 지난달 27‧28일 이틀간 일산 한의학관에서 2026년 신규 졸업생을 대상으로 한 ‘신규 한의사 임상특강’을 개최했다. 이번 행사에는 약 45명의 예비 한의사가 참석해 졸업 이후 진로와 임상에 대한 높은 관심을 나타냈다. 특강은 동국대학교 한의과대학 42기 신규 한의사들이 졸업 후 임상 현장에 원활히 진입하고, 안정적으로 취업 및 진료 활동을 이어갈 수 있도록 돕기 위해 기획됐으며, 학교 교육 과정에서 상대적으로 접하기 어려운 취업 준비 과정과 초기 임상 적응에 초점을 맞춘 실질적인 교육 프로그램으로 구성됐다. 첫날에는 진로 설계와 임상 초기 준비를 주제로 한 강의가 진행된 가운데 1교시에는 김신제 원장이 연사로 나서 부원장 취업 준비 과정과 현실적인 공부 전략을 중심으로 강의를 진행했다. 이어진 2교시에서는 다품한의원 정영숙 대표원장이 이른 개원의 장단점과 신규 한의사에게 추천되는 부원장상을 주제로, 임상 현장에서의 실제 경험을 공유했다. 특히 이날 강의는 동국대 출신 한의사들 중 42기수의 근접 기수 선배들이 직접 참여했다는 점에서 의미를 더했으며, 졸업을 앞둔 신규 한의사들과 비교적 가까운 시기에 임상 현장에 진입한 선배들이 자신의 경험을 바탕으로 취업 준비 과정과 초기 임상 적응에서의 시행착오를 현실적으로 전달하며, 선후배 간 실질적인 연결과 공감의 장을 마련했다. 둘째 날에는 임상약침학회와 협력한 전문 강의가 진행됐으며, 남기현‧오휘광‧김지훈‧강세황‧윤영재 원장이 참여해 미주란‧미주모‧리포컷을 아우르는 통합 약침 강의를 진행했다. 해당 강의에서는 개별 술기 소개를 넘어, 환자 상태에 따른 선택 기준과 임상 적용 흐름을 중심으로 한 실전적인 접근이 제시됐다. 특강에 참여한 최모 학생은 “졸업 이후 어떤 선택을 해야 할지 막연했는데, 선배 한의사들의 실제 경험을 들으며 현실적인 기준을 세울 수 있었다”고 말했으며, 송모 학생은 “학교 수업에서는 듣기 어려웠던 취업 준비와 초기 임상 적응에 대한 이야기가 특히 인상깊었다”면서 “앞으로의 진로를 구체적으로 고민하는 데 큰 도움이 됐다”고 전했다. 또한 박모 학생은 “임상에 바로 적용할 수 있는 방향성과 선배들의 솔직한 조언이 실질적인 도움이 됐다”며 만족감을 나타냈다. 한편 동국대학교 한의과대학 동문회는 이번 특강을 계기로 신규 졸업 한의사들이 임상 현장에 안정적으로 정착할 수 있도록 실질적인 지원을 지속할 계획이며, 앞으로도 임상 역량 강화와 진로 설계를 돕는 다양한 교육 프로그램을 통해 동문 간 연대를 강화하고, 젊은 한의사들의 성장을 적극적으로 뒷받침할 방침이다. -
몽골에서도 주목한 한의 비수술 척추 치료[한의신문] 자생한방병원(병원장 이진호)이 최근 몽골 정형외과 및 재활의학과 의료진을 대상으로 ‘한의 치료법 설명회’를 진행했다고 밝혔다. 이번 프로그램은 해외 의료진 대상 자생한방병원의 비수술 척추 치료에 대한 임상적 이해를 공유하고, 한의통합치료 시스템과 근거중심의 통합의학에 대한 이해를 넓히고자 마련된 행사다. 이날 행사는 몽골 21개 병원 소속 정형외과 및 재활의학과 의사 총 25명이 초청돼 진행됐으며, △병원 투어 △한의학 및 통합의학 이론 강의 △약침·추나요법·동작침법 등 주요 치료 시연 △질의응답 등으로 운영됐다. 특히 한의 비수술 허리 치료의 원리와 임상 적용 사례를 중심으로 강의가 진행되는 한편 시연을 통해 자생한방병원의 치료 프로세스를 현장에서 직접 확인할 수 있도록 했다. 자생한방병원 측은 실제 임상 현장에서의 한의통합치료 적용 가능성과 치료 시스템 전반에 대한 인식을 확장시키는 계기가 됐다고 설명했다. 이번 프로그램에 참여한 간후야그 푸레브둘람 의사는 “전 세계적으로 통합의학의 수요가 늘고 있고, K-컬쳐 열풍과 함께 K-의료에 대한 세계적 관심도 높아지고 있다”며 “온라인으로만 접했던 약침, 동작침법, 추나요법 등 한의통합치료법을 실제로 보고 배울 수 있어 뜻 깊은 시간이었다”고 소감을 전했다. 이진호 병원장은 “해외 의료진들이 자생의 비수술 치료 시스템과 임상적 강점을 폭넓게 이해할 수 있는 자리였다”면서 “앞으로도 꾸준한 국제 교류를 바탕으로 한의학의 글로벌 경쟁력 강화를 이어가겠다”고 말했다. 한편 자생한방병원은 인턴십 프로그램, 국제학술대회 개최 등 한의학의 세계화를 위한 다각적 노력을 기울이고 있다. 특히 자생한방병원은 동아시아 유일 ACCME(미국평생의학교육인증원) 인증 보수교육기관으로, 해외 의료진과 의대생들을 대상으로 한 교육 프로그램을 운영 중이다. 아울러 올해에는 미국 인디애나 의과대학과 현지에서 ‘자생 국제학술대회(AJA 2026)’를 공동 개최할 예정이다. -
국립중앙의료원 신축이전, 1조 8천억 원 확정···내년 상반기 ‘첫 삽’[한의신문] 국립중앙의료원의 신축이전 사업비로 1조 8천억 원이 확정된 가운데 내년 상반기 ‘첫 삽’을 뜨게 될 전망이다. 이와 관련 보건복지부(장관 정은경)는 국립중앙의료원 신축이전 및 중앙감염병병원 건립 사업이 기획예산처와의 총사업비 조정 협의를 완료하고, 설계의 마지막 단계인 실시설계에 본격 착수했다고 5일 밝혔다. 이번 총사업비 조정은 지난해 10월 조달청의 중간설계 적정성 검토 이후 진행됐으며, 협의 결과 당초 사업비 1조 4,800억 원에서 3,545억 원이 증액된 1조 8,345억 원으로 최종 확정됐다. 보건복지부는 2023년 8월 설계 착수 후, 지난해 5월 도시계획 변경을 통해 미공병단 부지(서울 중구 방산동 70번지 일원)를 종합의료시설 부지로 결정했으며, 신축이전 부지인 미공병단 부지는 지난 3년간 문화재 조사와 토양환경정화 작업을 완료했고, 최근 국방부에서 보건복지부로 관리권 이관 절차를 마쳤다. 이번 사업은 지하 4층, 지상 14층, 연면적 189,681㎡(57,378평), 총 776병상(일반병상 526, 음압병상 150, 외상병상 100) 규모로 국립중앙의료원과 중앙감염병병원, 외상센터를 건립할 계획이며, 실시설계가 종료되는 내년 상반기에 착공하고 ’30년 말 완공할 예정이다. 아울러 당초 사업 범위에는 포함되어 있지 않았던 중앙응급의료센터, 중앙치매센터, 공공보건의료지원센터, 중앙모자센터, 정책통계지원센터, 중앙난임상담센터 등(연면적 6,410㎡, 약 293억원, 실시설계 후 별도 사업비 추가 반영 예정) 등 6개 위탁사업 수행 사무공간도 포함돼 설계가 진행된다. 본원, 외상센터와 함께 건립되는 중앙감염병병원은 ’21년 코로나19 위기 당시 고(故) 이건희 회장 유족 측이 감염병 국난 극복에 기여하고자 출연한 기부금(5천억 원)이 운용수익을 포함하여 건립 재원으로 투입돼 그 의미를 더한다. 이중규 보건복지부 공공보건정책관은 “국립중앙의료원이 국가 필수의료 중추기관으로서 걸맞은 역량과 위상을 갖추도록 철저히 준비하겠다”면서 “기부자의 숭고한 뜻과 기대에 부응할 수 있도록 사업 추진에 만전을 기하겠다”고 밝혔다.
많이 본 뉴스
- 1 국가 의료AI 데이터센터 추진…원주 거점으로 ‘소버린AI’ 속도전
- 2 한의사 X-ray·소방병원 한의과 추진…한병도 의원, 민주당 원내대표로 선출
- 3 “막막하다는 한약 처방, 길을 제시하고 싶었다”
- 4 보험사만을 위한 ‘향후치료비 박탈’ 개악 즉각 철회!!
- 5 일반식품, ‘캡슐·원료명 전략’으로 ‘건기식 둔갑’…소비자 구분 어려워
- 6 대한한의학회, 제 24회 학술대상 및 제9회 미래인재상 시상
- 7 “한의계 현안 논의 위해 정례적 소통 할 것”
- 8 성남시한의사회, 이종한 신임 회장 선출
- 9 “한의약은 국민 곁에서 항상 함께 합니다∼”
- 10 “환자의 고통 외면할 수 없어, 담적증후군 코드 등재 결심”

