한의학의 '장상학설'을 현대 분자생물학적 관점에서 증명 '눈길'
경희대 배현수·김진주 교수 연구팀, 국제학술지 'Frontiers in Immunology'에 연구결과 게재
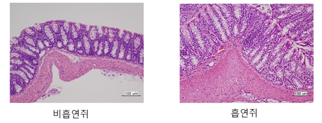
[caption id="attachment_387883" align="alignleft" width="300"]

◇흡연에 노출된 쥐는 대장 조직이 두꺼워 지면서 면역세포가 급격히 증가했다. 이러한 현상은 염증성 대장염의 대표적인 특징으로서 흡연만으로도 대장염증이 발생함을 보여준다.[/caption]
[한의신문=강환웅 기자]흡연으로 인해 호흡기뿐만 아니라 대장에 질병이 발생하는 상세 과정이 보고돼 눈길을 끌고 있다. 특히 이번 연구는 한의학의 '장상학설'에서 폐와 대장이 생리·병리학적으로 연결된다는 이론을 최신 면역학 연구기법으로 규명했다는 데서 더욱 관심이 모아지고 있다.
한국연구재단은 지난 3일 경희대학교 한의과대학 배현수·약학대학 김진주 교수 연구팀이 흡연으로 인해 대장 질환인 크론병이 발생하는 과정을 규명해냈다고 밝혔다. 이 연구 성과는 과학기술정보통신부·한국연구재단 기초연구지원사업(개인연구) 지원으로 수행된 것으로, 국제적인 학술지인 '첨단면역학회지(Frontiers in Immunology)' 10월31일자 논문으로 게재됐다.
흡연은 호흡기 질환, 뇌혈관·심혈관 질환의 주요 위험인자로 널리 알려져 있으며, 최근 들어서는 흡연이 난치성 대장 질환인 크론병의 가장 강력한 위험인자라는 임상 및 역학연구가 보고되고 있지만 흡연으로 대장 질환이 발생하는 구체적인 기전은 여전히 불분명한 실정이었다.
이에 연구팀에서는 흡연과 대장 질환의 상관성을 파악하기 위해 일반 실험쥐와 유전자 변형쥐를 담배연기에 4주간 노출시킨 후 우선 흡연만으로 염증성 대장염이 발생하는지 확인했다.
연구 결과 간접흡연에 노출된 생쥐에게 Th1 세포와 인터페론 감마가 유난히 증가하는 것을 발견했다. 또 이 특정 인자들이 흡연에 의한 대장염 유발과 직접적인 관련이 있는지를 확인키 위해 Th1 세포가 유전적으로 결핍된 마우스, 인터페론 감마 분비가 안되는 마우스를 이용해 똑같이 담배연기에 노출시킨 결과 이들 두 유전자 결핍 마우스에서는 대장염이 전혀 발생하지 않아, Th1 세포와 인터페론 감마가 대장염 유발에 주요 매개체임을 확인할 수 있었다.
이와 함께 흡연에 노출된 마우스 폐 근처의 Th1 세포를 분리해 흡연에 노출된 적이 없는 마우스에 이식한 결과 정상마우스 대장에서도 염증이 발생, 이는 간접흡연으로 호흡기에 염증이 생겼고, Th1 세포가 분비한 인터페론 감마 대장에 염증을 발생시켰다. 즉 흡연으로 호흡기 염증 질환이 발생해 특정 면역세포들이 대장으로 이동했고, 이동한 면역세포가 대장염을 유발한다는 사실을 확인한 것이다.
특히 이번 연구는 한의학의 '장상학설'에서 폐와 대장이 생리·병리학적으로 연결된다는 이론을 최신 면역학 연구기법으로 규명했다는 데서 더욱 획기적인 의의가 있는 것으로 평가되고 있다. 장상학설이란 인체에 나타나는 생리·병리적 현상에 대한 관찰을 통해 각 장부의 생리기능 병리 변화 및 장부 간의 상호관계를 설명하는 한의학 이론으로, 음양오행·경락학을 근거로 하고 있어 현대 과학적 방법으로 증명하기에 많은 한계가 있었다.
이와 관련 배현수·김진주 교수는 "이번 연구는 그동안 밝혀지지 않았던 흡연과 대장염과의 관련성을 규명한 것으로, 크론병 등과 같은 난치성 대장염 치료 가능성을 제시할 것"이라며 "특히 분자생물학 기반의 연구를 통해 한의학의 생리·병리학 이론을 규명한 선구적 연구방법의 좋은 본보기가 될 것으로 기대된다"고 강조했다.
이어 "향후에는 담배의 다양한 독성 화학물질 중 대장염증을 유발하는 화학물질이 무엇인지 규명하는 연구가 필요하다고 생각된다"며 "또한 미세먼지, 꽃가루, 곰팡이 등의 다른 흡입물질도 담배연기와 같은 방식으로 대장질환을 유발하는 지에 대한 연구 규명도 또 다른 관심 분야이며, 이 같은 연구를 통해 전통 한의학이론에 대한 현대의학, 과학자들의 이해도를 높임으로써 한의학 연구 활성화에 이바지하기를 바란다"고 덧붙였다.