
[한의신문=강현구 기자] 요추협착증 치료를 위한 ‘황색인대(Ligamentum flavum)’ 침도 시술에서 초음파진단기기를 활용해 안전하고, 효과적으로 시행할 수 있도록 한 매뉴얼이 제시됐다.
대한침도의학회(회장 유명석)는 최근 발간된 대한침도의학회지 제7권 제1호에 ‘초음파 중재 하 황색인대 침도 시술 방법에 대한 프로토콜(Protocol for UltrasoundGuided Acupotomy Procedure at Ligament Flavum)’이란 제하의 논문을 게재했다.
논문에 따르면 ‘요추협착증(Lumbar spinal stenosis)’은 척추관·외측신경관·신경공의 직경이 감소하는 질환으로, 노인 인구에서 빈번하게 발병하며, 신경근의 압박으로 인해 허리와 다리에 통증, 무감각, 쇠약과 함께 신경성 파행이 발생할 수 있다.
침 치료에 있어 타깃이 되는 연부 조직구조물은 △아시혈 △황색인대로, 특히 인체 경혈 하의 심부와 다양한 경근을 자극하고, 나아가 황색인대 부위까지 깊이 도달해야 하기 때문에 침술의 정확성과 주의가 당부되고 있다.
최근 초음파진단기기(이하 초음파) 중재가 침술의 안전성과 정확성에 기여한다는 연구결과를 토대로 이번 연구에서는 황색인대 자극을 위한 초음파 중재 하침도시술 방법과 주의사항 등을 다뤘다.
연구진은 “요추의 해부학적 구조를 적절하게 평가하기 위한 영상장비 중 초음파는 휴대성, 경제성, 동적 이미지를 얻을 수 있는 이점이 있으며, 척추 내의 거의 모든 구조물을 식별할 수 있다”며 “특히 진단과 동시에 치료에도 개입해 도움을 줄 수 있다”고 설명했다.

요추협착증에서 초음파 활용 침도 시술 방법은?
연구진은 초음파 유도 하 황색인대 침도 시술 방법으로 △초음파로 자침 부위와 자침 방향을 설정·진행하는 ‘간접 중재술’ △초음파 유도 하에 직접 시행하는 ‘직접 중재술’로 분류해 임상의들이 초음파기종이나 진료실 환경에 따라 선택해 접근하도록 했다.

◇ 간접 중재술(초음파 보조 하 내구혈취혈 방법)
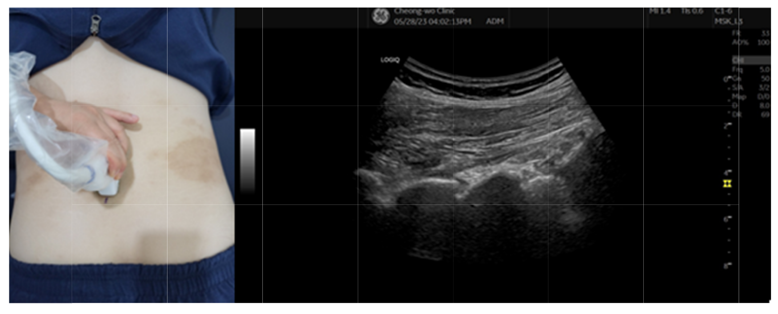
① Longitudinal view로 Probe를 환자 허리에 대고, Ner-oaxial view 중 Lamina view에서 시술하려는 레벨을 선정한다.
② 시술하려는 레벨에서 Probe를 안쪽으로 천천히 이동해 Interlaminal space가 보이도록 초음파를 주사한다.
③ 선택한 레벨의 Interlaminal space를 Convex probe의 중심에 두고, 서지컬마커를 Probe 가로와 세로 중심점에 점을 찍는다.
④ 해당 위치에서 영상상 Interlaminal space 위 라미나의 하단과 아래 라미나의 상단을 이은 선까지의 깊이를 확인한다.
⑤ ③의 교점에서 침도를 직자에 가깝게 자입한다. 이때 ④의 자침 심도 전까지만 진침한다.

◇ 직접 중재술(초음파 중재 하 내구혈취혈 방법)
① 장축으로 초음파를 환자 허리에 대고 Neuroaxial view 중 Lamina view에서 시술하려는 레벨을 선정한다.
② 시술하려는 레벨에서 프로브를 안쪽으로 기울여 Inter-laminal space가 보이도록 초음파를 주사한다.
③ 침도 자입 시 Probe의 간섭을 피하기 위해 초음파에서 1cm 정도 떨어진 위치의 수평면상에서 15도 정도 침도를 기울여 자입한다.
④ 시술하려는 레벨의 위 라미나의 상단에서 하단 사이를 목표로 초음파상에서 진입경로를 확인한다.
⑤ 에피듀라에 진입하지 않고, 황색인대를 안전 자극할 수 있는 골표지자(Bone turnover marker)는 위 라미나의 하단과 아래 라미나의 상단 사이다.
⑥ 시술 목표에 따라 황색인대를 Epidural space에 진입하지 않는 선에서 초음파 중재 하에 절개한다.
연구진은 이때 가장 주의할 점으로 경막 자극 및 경막 천공 손상을 꼽았는데, 경막 자극을 피하기 위해선 황색인대 침도 시술 시 완전히 관통시키지는 않아야하며, 이를 위해 자입심도를 초음파로 확인해 해당 깊이 이상 침도를 진침 시키지 않도록 권고했다.

“정확한 침도 시술을 위한 초음파의 보조적 요법 프로토콜”
연구진은 “시술 결과 초음파 유도 하 침도 시술은 축자입을 하기 때문에 침도가 진입하는 전장과 침 끝을 놓치지 않고 시술할 수 있었으며, 각도를 눕혀서 하는 일반적인 In plane 시술에 비해 더 적은 침습으로 시술이 가능했다”면서 “장비의 성능과 시술자의 숙련도에 따라 침도날의 끝을 정확히 확인하며 진입하는 것이 중요하다”고 강조했다.
연구진은 이어 “협착이 만성화되거나 전방전위증이 있는 환자에 대한 정확한 황색인대 부위의 송해술(이완술)을 위해서는 요추 전만의 각도를 확인하는 것이 필요한데 그 각도에 따라 진입각이 상이할 수 있기 때문에 이번 연구를 통해 정확한 침도 시술을 위한 보조적 요법으로의 초음파 활용 프로토콜을 제공하고자 했다”며 “추후 환자의 체형에 따른 후속 연구나 유효성에 대한 연구도 필요하다”고 제언했다.
한편 이번 연구 논문은 강경호 원장(강남 양재청우한의원), 오기창 한의사(봉화군 물야면보건지소), 김재효 교수(원광대 한의과대학 경혈학교실), 추홍민 교수(원광대 한의과대학)가 참여했다.