
2월17일부터 24일까지 캄보디아에 의료봉사을 다녀왔다. 33명의 봉사자로 의료팀과 미용팀을 꾸렸으며, 이번에는 특히 한의과, 내과, 외과, 마취통증의학과, 신경외과, 치과 전문의가 참가해 폭넓게 진료할 수 있었다. 또한 휴대용 저선량 X-ray와 초음파 장비를 가져가 영상진단을 대폭 활용해 기존의 의료봉사보다는 진일보한 형태로 봉사를 진행하게 돼 소개하고자 한다.
약 1년 전 참여했던 163차 KOMSTA 캄보디아 의료봉사에서 휴대용 초음파(아큐비즈 포켓, FCU)를 사용했던 적이 있다. 당시 휴대용 초음파를 근골격계 질환뿐만 아니라 종양, 갑상선 등 내과질환의 감별진단에도 요긴하게 활용했던 기억이 있었기에 이번에도 초음파 장비(HM70, 삼성)를 빌려 운용하게 됐다.
일반외과 원장은 휴대용 저선량 X-ray 장비(MINE ALNU, NOOKA)를 지인에게 빌려와서 사용했는데 휴대용임에도 불구하고 생각보다 해상도가 높고 깔끔한 영상을 얻을 수 있어 매우 만족스러웠다.
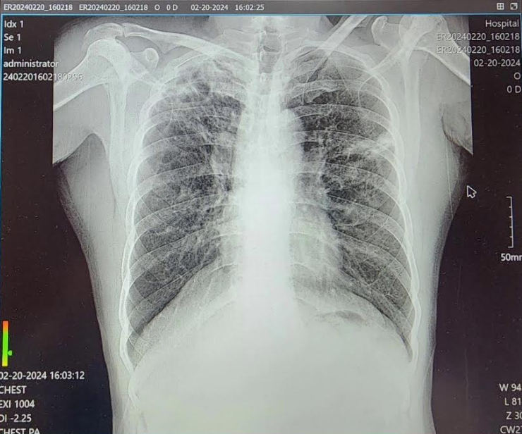
휴대용 X-ray는 카메라 형태의 X선 발생장치와 영상 수신장치인 휴대용 디텍터, 그리고 그 정보를 받아 영상으로 출력하는 노트북으로 구성돼 있었다. 디텍터는 가로×세로 46cm로 부피가 다소 컸지만, 백팩처럼 메고 이동하기에는 충분했다. X선 발생장치도 일반 디지털카메라보다 약간 큰 정도로 휴대에 어려움이 없었다. 다만 스탠드가 없이 환자가 디텍터를 직접 들거나 보조자가 옆에서 들어주어야 했기 때문에 표준 촬영 자세를 취하지 못함으로 인한 오류가 발생할 수 있었다.
현지에서는 인터넷 사정과 전기공급이 매우 열악한 지역에서 진료했고, 와이파이 오류 등으로 촬영에 제한이 생기기도 했다. 그러나 단순 흉부 X선 촬영에서 양쪽 폐야가 분명하게 나타났고 늑골횡격막각(CP angle)과 폐문부(Hilum)의 혈관음영도 자세하게 확인할 수 있었다.
한 환자에게서는 폐문부의 이상음영으로 폐암(의증)을 진단했으며, 다른 환자에게서는 폐엽의 섬유상 패턴으로 결핵을 진단했다. 무릎과 경추도 일반적인 X-ray와 비교해 전혀 나쁘지 않은 촬영 결과가 나타났다.
다만 비만인이거나 요추의 경우 피폭선량이 다소 부족해 뿌옇게 보이는 저노출 영상으로 보여지기도 했다. 자세한 판독이 필요한 경우 국내의 영상의학과 전문의에게 사진을 전송해 원격 판독을 의뢰했다.

복부초음파로는 복부에 종괴가 만져지는 아동의 장간막낭종(Mesentaric cyst)을 확인하거나, 다른 성인 환자에서 간종대를 확인할 수 있었다. 또한 편측 하지의 함요부종에 도플러 초음파를 활용해 림프종을 진단했고, 갑상선의 결절 및 낭종과 수부의 심한 통풍성 관절염 등을 진단했다.
특히 한의과에서는 초음파를 활용해 환자를 보다 상세히 진단한 후 침술과 도침 치료를 진행했고, 내과질환 환자에게는 복부초음파를 활용해 감별진단을 시행하는 등 심도 있는 진료를 하기 위해 노력했다.
또한 마취통증의학과에서는 척추 및 관절의 통증질환에 초음파유도하 주사치료를 시행했는데, 특히 말초신경의 분지를 따라 주사로 박리(Hydrodissection)하는 치료는 약침치료와 유사하면서도 안전하고 효과가 매우 빨랐다. 예를 들어 경골 골절로 핀고정술을 시행 후 발생한 하지부의 심한 통증은 천비골신경(Superficial peroneal nerve)의 신경박리 요법으로 신속한 통증 호전이 나타났다.
이번 봉사지역 중 깜퐁츠낭은 수도 프놈펜에서 차로 약 3시간 떨어진 곳으로 비포장도로를 한참이나 들어가야 하고, 물과 전기가 부족하고 휴대폰 신호조차 잘 잡히지 않는 진짜 오지였다.

마을 근처에 병원이 없는 완전한 의료 사각지대로 진료를 받은 어떤 환자는 70세가 될 때까지 의사를 만난 적이 없다고 말하기도 했다. 초등학교 교실에서는 아이들 책상을 이어 붙여 간이침대를 만들어 진료하기도 했고, 교회 건물에서는 책상조차 없어 건물 난간에 돗자리를 깔아 환자를 눕히거나 의자에 앉혀놓은 채 치료했다.
열악한 환경 속에서 진료했지만, 다양한 영역의 전문의가 서로 협력해 많은 시너지를 낼 수 있었으며, 그중 특히 휴대용 영상진단 장치가 개선되면서 의료봉사의 필수품이 된 것 같다.
코로나 이후 해외 봉사가 대폭 늘어나면서 KOMSTA 등 한의약의료봉사단체의 활동도 늘어나고 있는데, 앞으로는 한의약 의료봉사에서도 통증치료와 일회성 치료 방식을 지양하고, 현지인의 중점 수요를 파악하고 영상진단 등 세밀한 접근으로 의료봉사의 패러다임을 전환해야 할 것으로 생각한다. 한의약의 장점과 현대 진단기기를 융합해 의료봉사를 선도해 나갔으면 한다.